Voting

Friday, May 4, 2018

Baby #4

I know most people are probably thinking, another baby? Seriously! Don't they know what prevents that. 
Well yes, yes we do.  But honestly I couldn't be more excited to bring another sweet babe into this world.  Everything just felt so right about the timing and although it happened a little sooner than we were expecting, once we really thought about it we were exstatic! This pregnancy has been a little tougher than my others, as in I have just been exhausted! That's probably mostly because I have 3 little ones at home I'm also taking care of.  I also seemed to be a little more sick this pregnancy which was weird.  But that could also be from a lack of sleep.  Now that I'm in my second trimester I'm doing so much better! I feel like a new woman!
About 2 months into this pregnancy I had a very vivid dream that this baby was going to be a girl.  In the dream this little girl had lots of dark hair and chubby cheeks.  She was so perfect.  But then I got thinking, there is no way that could be my baby as all my kids were born without any hair.  So I just assumed I was holding someone elses baby.  But then I had a dream 2 more times with that same baby and I just knew that this baby was a girl! I don't know if she will have tons of hair like in my dream or not but one can dream right? :)
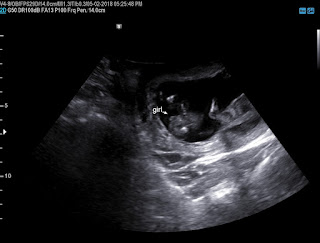
This baby is already so loved.  We went in for our first ultrasound at 14 weeks and got to find out the gender and see our sweet baby. We decided to go in this early because Grandma was in town and we wanted her to be able to participate in something special with this baby, so when I found a place in orem that did ultrasounds at 14 weeks I was so excited! It was so great having her there and get to see our little girl. It was so neat getting to see her and watch all her little movements.  The ultrasound tech got some amazing pictures of her kicking me and waving to us.  Kyle got so into the ultrasound.  He was so fixated on it all.  I told him she was giving him a high 5, so he would reach his hand up to the ultrasound picture and say high 5! Then he said knuckles and I'm pretty sure she did knuckles to him.  I have a feeling these two are going to be great pals and he will protect her so well.  The girls weren't super interested in it.  The place we went had new toys so they were way more involved in that. 
At the ultrasound we had the tech just write out what the baby was on the screen so we could keep it a secret from the kids until we got home.  Then when we got home we invited my family over and the kids bit into a cupcake to find pink frosting in the middle.  The girls were so excited! Kennedy would have been pretty upset if it was a boy, but I know she would have grown to love that little boy. 
A couple of weeks ago I was changing Kyle and he kept looking up into the corner of the ceiling.  I asked him what he was looking at and he told me," God, baby".  I asked him again what he was looking at and he said the same thing.  It was a very precious moment and I was so grateful to feel the presence of our sweet babe there.  I have no doubt that he has already seen this baby and that he is looking forward to her being here. 
Although we don't really have a name for her yet, we are still so in love with her.  Its still kind of surreal that we are having another one, but we are all so excited! This week I have felt her movements a little more and Its so amazing! I do love being pregnant and feeling the baby inside of me.  The human body is truly amazing!

Now here are just a few pictures of our sweet girl!





High Five 


Knuckles 

I love you

No comments:

Post a Comment